Smile Gallery
Dynamite Smiles Dentistry is proud of our patients and their gorgeous smiles. Feel free to browse our smile gallery to see real patients with real results!




This beautiful woman had been thinking about improving the esthetics of her smile for many years. After years of orthodontic work, she was ready to do something more permanent and stable. We did a mock-up first to study the bite and to see the possibilities. Our entire team was rooting for this amazing person. We are so happy to have been able to be a part of her smile journey.




The main goal of this smile transformation was to create a natural healthy smile. We used a mock up to design the smile. We then performed conservation preps. The final veneers are layered porcelain to create natural shades and lucency.


Due to root resorption and infection we had to extract one of the front teeth. We then created an aesthetic all porcelain bridge to replace the missing tooth. Patient was not a good candidate for implant so a bridge was the alternative option. We allowed for 3 months of healing after extraction before finalizing the bridge. It’s important to let the body heal before any final restorations are rendered so the bone and tissue look and feel good for years to come


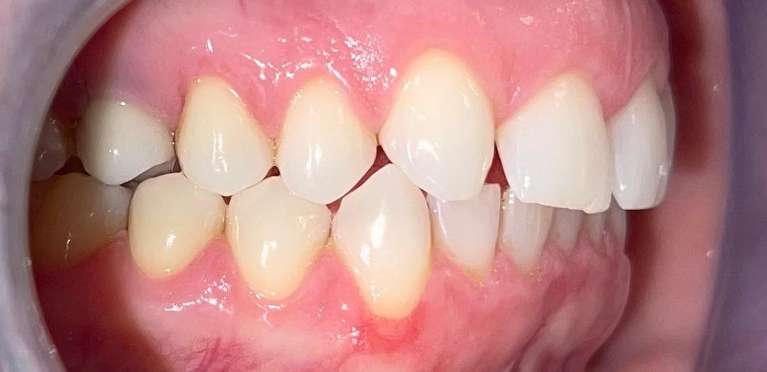
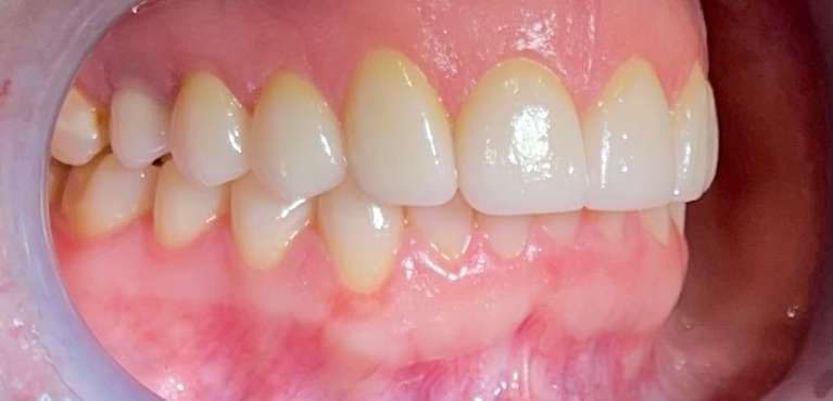
This beautiful person needed her old bridge to match her other teeth. The old bridge was porcelain with metal base. We changed the material to full porcelain to match her natural translucency and shape.
So happy for this transformation.


This beautiful kind person was starting to loose her back teeth and her teeth did not have good long term prognosis. After much consideration we decided a fixed implant retained prosthesis is the best option. We guided her through her journey, our oral surgeon placed beautiful implants, we temporized with fixed teeth for a few months and then made her final full porcelain zirconia prosthesis. It was important for her to look natural for her grandchildren to recognize her as the same grandma. So we assured to enhance on her current esthetics and even incorporated some crowding of teeth.


This beautiful smile was achieved via placing 5 implants in each arch and making a porcelain fixed prosthesis. This final prosthesis was made after wearing a fixed temporary one for 4 months. The temporary looks and feels great as well, but we always plan on making a final after healing for best long
term prognosis and esthetics.




No prep veneers, or as we like to call it in dentistry Minimal Prep Veneers, are a great option for patients with healthy teeth, good occlusal contacts, and nearly straight aligned teeth who are interested in an improved smile. Prior to offering this option, we do an analysis assuring the patient is a candidate. We call it minimal prep since we do have to remove any bulky spots or sharp, chipped edges. However, the preps are so minimal that no anesthetic is needed, no chord packing is required and patient doesn’t have to be in temporaries while the veneers are ...


This beautiful person needed a smile to match her vibrant personality. A smile consultation was performed first to design the desired smile, including shape, color, and length of the teeth, the extend of buccal corridor (how much of the back teeth can be observed when you smile), and position of teeth with respect to the lips. After patient approved, teeth were prepared for layered all-porcelain crowns. On delivery day, we tried the crowns first with try-in paste, walked to natural light and indoors to assure patient satisfaction, then the crowns were delivered.


This energetic and active mom needed to replace her crowns which were done a number of years ago by another dentist. She was not happy with the shape, color, and the margins of the old crowns. After a detailed smile consultation to discuss the different kinds of porcelain crowns, and the desired shape, color, hue and value of crowns, we started by bleaching the unprepared teeth to the desired shade, followed by removing the old crowns and making new crowns. On our first delivery appointment, the crowns did not meet our high esthetic standards, so we sent them back to ...


This beautiful person wanted a more straight natural smile, there were also some chipped teeth that she did not like. We did orthodontic treatment through Invisalign to achieve a more aligned smile. At the end of treatment the teeth were bleached and the chipped teeth were bonded.


This patient wanted an aesthetic smile that matched his professional demeanor. The attrition due to years of grinding/clenching had lead to a slightly reduced vertical occlusion and the signs could be seen in the front teeth. After studying the occlusion, it was concluded that a a few crowns/veneers in the smile line, in addition to a proper night guard can help the patient have the desired smile and maintain it.


This young person had chipped her tooth a few years back, bonding was attempted multiple times, but due to the location of the chip, the restoration would fall off. After discussing expectations and extent of work desired at this time, we started by bleaching the teeth to a natural maintainable shade, bonded the small chip, and did a veneer for the tooth with the larger chip. Lab was involved for a custom shade since matching two front teeth can be challenging, but clear communication, proper reduction and materials can produce beautiful results.


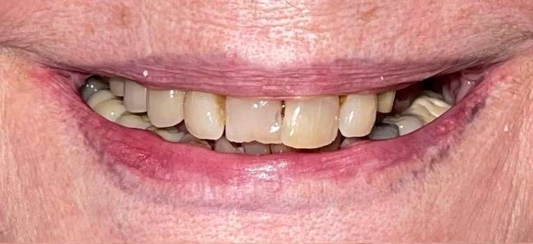
This person was not happy with her old porcelain-fused-to-metal crowns, the metal margins showing and the shape and color. After a thorough consultation, we used layered full porcelain crowns to emulate the natural translucency, shape and shade of the teeth. The gingiva was gently manipulated for proper contour and crown ratios.